コンテンツまでスキップ
  • 検索フィールドが空なので、候補はありません。

【症例】犬・高分化型小細胞リンパ腫

症例提供:才田祐人先生(矢田獣医科病院)

クロラムブシルと糖鎖製剤(TPG-1)の併用治療がもたらす副作用マネジメントと長期治療継続への期待

―犬消化管型高分化型小細胞型リンパ腫の一例から―

背景

犬の消化管型高分化型小細胞型リンパ腫は、高齢犬や小型犬での発生頻度が高く、慢性的な低アルブミン(Alb)血症や消化管症状によるQOL 低下が課題である。標準治療(ステロイド・アルキル化剤併用)下でも、治療反応不良や副作用、再発・増悪例が少なくない。本症例では、がん補
完免疫療法として糖鎖TPG-1 を併用し、副作用緩和・QOL 改善を目指した治療戦略の臨床的有用性を検証した。

症例概要

 

動物種  犬(マルチーズ)
性別 去勢雄
年齢 11 歳3ヶ月(診断時)
体重 4.4kg
飼育環境 室内
診断 高分化型小細胞型リンパ腫(B 細胞型)
手法  内視鏡生検+リンパ球クローナリティ検査
診断日  2025 年4 月25 日
ステージ Stage Ia
主訴 健診で低Alb 血症(2.0g/dl)発見、 軟便・活動性低下
既往歴  粘液腫様変性性僧帽弁疾患(ACVIM Stage B2)、 ピモベンダン製剤を服用中
治療歴  プレドニゾロン(1.3mg/kg/SID, 約3 年)、 クロラムブシル(0.44mg/kg/3 日に1 回)
糖鎖TPG-1  診断後・積極治療開始前より1 日2 回2 倍量、 経口投与、現在も継続

 

治療経過・併用戦略

初診時低Alb 血症・消化管症状のため、IBD と仮診断しプレドニゾロン開始。減量時にAlb 低下・軟便再燃し、長期経過。診断後糖鎖TPG-1 を併用し、Alb 1.6→2.8 g/dlへ改善、軟便も解消。クロラムブシル導入後もAlb・QOLは維持。副作用として特記すべき所見なし。
糖鎖TPG-1 の投与量については、ガイドラインの推奨量や過去の症例報告で3 倍量の有効例を参考にし、初期の容量依存的効果を期待し、1 日2 回の2 倍量投与を選択した。

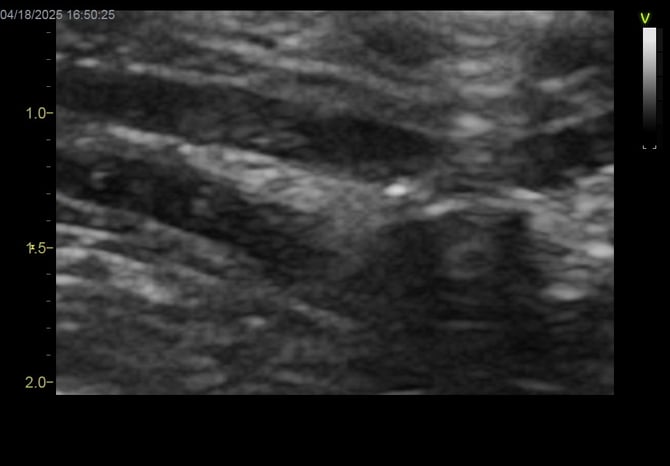
図1

初診時腹部超音波検査で、小腸粘膜に高エコー像およびリンパ管拡張所見が見られ炎症性腸疾患と仮診断し、プレドニゾロンの投与を開始した

糖鎖TPG-1 は、
フアイア(英名:Huaier、学術名:Trametes robiniophila Murr.)から水性抽出・単離された多糖タンパク複合体であり、フアイアの有効成分の一つとされる。TLR4 を介し、NF-κB およびMAPK シグナル経路を介した免疫増強作用(TNF-α、IL-6、NO をアップレギュレーション)による抗腫瘍活性を示すことが知られている¹。
近年、ヒトの免疫療法としての臨床研究が国内外で進んでおり、ヒト肝細胞癌術後における1044 例ランダム化比較試験で再発予防効果² や、動物モデルにおける炎症性腸疾患での抗炎症³ など、科学的根拠の蓄積が進んでいる。副作用は多量投与時の一過性の軽微な下痢とされている。

 

臨床経過・QOL評価

治療前:
Alb 1.6 g/dl、軟便、食欲・活動性低下(飼い主「以前ほど勢いよくフードを食べない」)。ステロイド投与量を増やしたが改善が見られず。

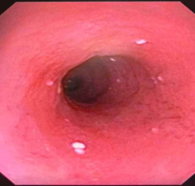
図2

第1076 病日、内視鏡生検を実施し、
十二指腸粘膜のリンパ管拡張および不整が認められた

 

糖鎖TPG-1 導入後(1ヶ月):
Alb 2.8 g/dl へ改善、軟便解消、QOL の維持。
飼い主による日常の具体的変化として、以前は療法食(消化器疾患用療法食、低分子プロテイン療法食など)で軟便改善に難渋していたが、糖鎖TPG-1 併用開始後、軟便が劇的に改善した。特に、これまで避けていた鶏肉や胸肉なども問題なく食べられるようになり、食事の多様性が向上した。これは飼い主・犬双方のQOL 向上に直接貢献した重要な変化である。

 

考察

Alb 改善(1.6→2.8 g/dl)は、過去にプレドニゾロン単独での治療では改善が限定的だった経緯から、ステロイドと糖鎖TPG-1 の相乗効果である可能性が高いと推察される。
ただし、本症例における確定診断には免疫組織化学検査を併用しておらず、リンパ球クローナリティ検査(PARR)単独では偽陽性の可能性も考えられ、一般的なリンパ球プラズマ細胞性腸炎との鑑別が難しい点は、本症例の限界として考慮すべきである。

 

今後の課題

症例が転院となり長期追跡が困難になったが、定期的な観察を継続する予定である。多施設共同での症例集積およびCIBDAI などの定量的なQOL 評価指標を取り入れ、客観的データを蓄積していく必要がある。糖鎖TPG-1 の容量依存的効果についても、さらなる評価が求められる。

 

結語

糖鎖TPG-1 は量依存性があり、初期の増量投与(2 倍量)が有効である可能性が本症例から示唆された。ステロイドおよび化学療法との相乗効果により、副作用緩和やQOL 向上に有効な補完免疫療法として、消化管型リンパ腫や慢性腸症での臨床的応用が期待できる。